
Một nhân viên văn phòng trung niên đến từ Trùng Khánh (Trung Quốc), tên không được tiết lộ trên phương tiện truyền thông, gần đây đã được đưa vào Bệnh viện Tây Nam của Đại học Quân y với cơn ho dai dẳng.
Người đàn ông này nói với các bác sĩ rằng cơn ho của ông đã trở nên tồi tệ hơn trong những ngày gần đây mặc dù đã uống siro ho và mắt ông đã trở nên đỏ ngầu, khiến ông phải tìm kiếm sự trợ giúp y tế.
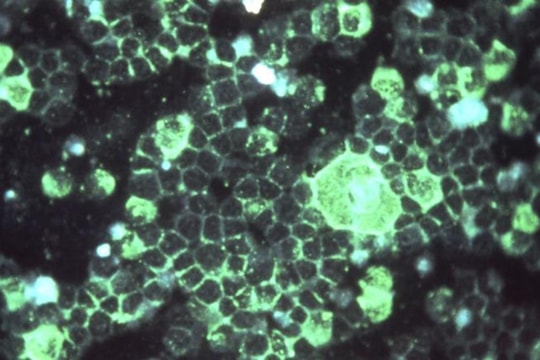
Sau khi tiến hành kiểm tra CT và MRI, các bác sĩ phát hiện thấy những bóng mờ đáng ngờ ở thùy dưới phổi phải của ông. Nội soi phế quản sau đó cho thấy bệnh nhân bị nhiễm trùng phổi do nấm Aspergillus.

Các bác sĩ đã hỏi về thói quen sinh hoạt của bệnh nhân để tìm yếu tố gây bệnh và phát hiện thói quen ngửi tất bẩn mỗi tối sau khi đi làm về. Cụ thể, bác sĩ Liang Peiqiang, bác sĩ điều trị của Khoa Hô hấp tại Bệnh viện Tây Nam, cho hay người đàn ông này thường ngửi tất bẩn của mình mỗi khi đi làm về, trước khi bỏ chúng vào máy giặt.
Sau khi lấy một đôi tất bẩn của người đàn ông và đem đi kiểm tra, các bác sĩ đã tìm thấy dấu vết của nấm Aspergillus và xác định rằng thói quen mất vệ sinh của bệnh nhân là nguyên nhân gây ra nhiễm trùng phổi
Các bác sĩ giải thích rằng, tất bẩn chứa mồ hôi, muối, urê. Môi trường ấm và ẩm trong giày là điều kiện lý tưởng cho nấm mốc phát triển. Việc ngửi tất bẩn làm tăng nguy cơ hít phải nấm và vi khuẩn nguy hiểm vào đường hô hấp. Nếu chúng vượt qua hàng rào bảo vệ ở mũi, họng và xâm nhập vào phổi có thể gây nhiễm trùng nấm, tiềm ẩn những hậu quả sức khỏe lâu dài.
Đây không phải lần đầu tiên một người đàn ông Trung Quốc nhập viện vì thói quen ngửi tất của mình. Trước đó, năm 2018, truyền thông nước này từng ghi nhận trường hợp người đàn ông 37 tuổi ở thành phố Trương Châu, tỉnh Phúc Kiến, phải nhập viện vì ho và đau ngực.
Bệnh nhân thừa nhận với bác sĩ có "sở thích" ngửi những đôi tất đã sử dụng. Các bác sĩ thời điểm này cũng kết luận, thói quen ngửi tất chính là nguyên nhân khiến anh bị nhiễm nấm phổi, do hít phải bào tử nấm phát triển trong giày dép.








