Thủy đậu – căn bệnh vốn được xem là lành tính đang gây biến chứng nguy kịch ở người trẻ khỏe mạnh. Bệnh viện Bệnh Nhiệt đới Trung ương vừa tiếp nhận hai ca nặng, tiên lượng xấu.
Bệnh nhân đầu tiên là anh N.T.B (31 tuổi, ở miền Bắc), hoàn toàn khỏe mạnh trước đó. Ngày thứ hai sau khi sốt cao và nổi ban phỏng nước, anh nhập viện. Chỉ hai ngày sau, anh được chuyển tuyến cấp cứu trong tình trạng sốc nhiễm khuẩn nặng, suy đa tạng, rối loạn đông máu nghiêm trọng.
Tại Bệnh viện Bệnh Nhiệt đới Trung ương, bệnh nhân được lọc máu, dùng thuốc vận mạch liều cao, nhưng tình trạng không cải thiện. Sau 12 giờ, sốc trở nên kháng trị, tiên lượng xấu, gia đình xin đưa về.
Kết quả xét nghiệm cho thấy bệnh nhân bị bội nhiễm tụ cầu vàng – vi khuẩn sinh độc tố mạnh, gây sốc nhiễm khuẩn và suy đa cơ quan. Chỉ số Procalcitonin (PCT) – dấu hiệu đặc hiệu cho nhiễm trùng huyết – vượt ngưỡng máy đo (>100 ng/mL), cho thấy tình trạng nhiễm trùng đã mất kiểm soát.
“Thủy đậu là bệnh do virus, nhưng bóng nước trên da làm tổn thương hàng rào bảo vệ, tạo điều kiện cho vi khuẩn xâm nhập”, ThS.BS Đặng Hoàng Điệp, Khoa Cấp cứu, phân tích. Tụ cầu vàng có thể sinh độc tố rất mạnh, khiến người bệnh tử vong nhanh dù hoàn toàn không có bệnh nền.

Trường hợp thứ hai là anh M.S.H (34 tuổi, trú tại Thanh Hóa), nhập viện khi thủy đậu đã lan khắp cơ thể, đặc biệt vùng đầu, mặt, cổ. Tại tuyến dưới, anh được chẩn đoán bội nhiễm, suy gan, suy thận và chuyển cấp cứu.
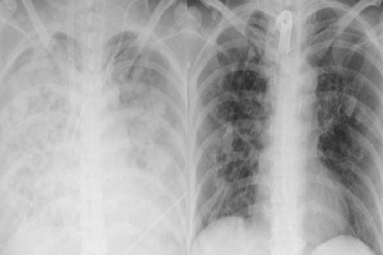
Khi đến Khoa Hồi sức tích cực, bệnh nhân thở oxy qua mask, điểm Glasgow chỉ còn 13. Chỉ sau ba giờ, hô hấp suy sụp, phải thở máy và đặt nội khí quản. Đến đêm, bệnh nhân rơi vào sốc nhiễm khuẩn, được chỉ định lọc máu và đặt ECMO để hỗ trợ tuần hoàn.
Xét nghiệm cho thấy bạch cầu tăng tới 17.000/mm³ (bình thường 4.000–10.000), Procalcitonin tăng vọt lên 260 ng/mL (gấp hơn 5.000 lần mức bình thường). Bệnh nhân bị suy gan nặng, men gan tăng cao, suy thận cấp.
“Chức năng hô hấp của bệnh nhân hiện vẫn rất kém, dù các chỉ số sinh tồn có dấu hiệu cải thiện sau ECMO. Tiên lượng vẫn dè dặt”, ThS.BS Trần Văn Quý, Trung tâm Hồi sức tích cực, cho biết.
Cả hai trường hợp đều cho thấy thủy đậu có thể diễn tiến rất nhanh đến nhiễm trùng huyết, suy gan, suy thận, suy đa cơ quan, thậm chí tử vong – ngay cả ở người trẻ khỏe mạnh, không có bệnh nền, không trì hoãn điều trị.
“Thủy đậu vốn là bệnh lành tính. Nhưng nếu có biến chứng như viêm phổi, viêm não, nhiễm trùng da hoặc bội nhiễm vi khuẩn độc lực cao như tụ cầu vàng… nguy cơ tử vong là rất cao", bác sĩ Quý cảnh báo.
Các bác sĩ khuyến cáo, người dân không nên chủ quan khi mắc thủy đậu. Nếu sốt cao kéo dài, ban mọc dày, có dấu hiệu nhiễm trùng da, khó thở, nôn nhiều, lơ mơ, cần đến bệnh viện ngay.
Những người thuộc nhóm nguy cơ cao như trẻ nhỏ, người già, phụ nữ mang thai, người có bệnh nền như tiểu đường, xơ gan, suy giảm miễn dịch… cần đặc biệt lưu ý. Tiêm vaccine thủy đậu là biện pháp phòng ngừa hiệu quả nhất, giúp giảm nguy cơ mắc bệnh cũng như các biến chứng nghiêm trọng.








